VA FAILS VETERANS WITH POPCORN LUNG, EXPERTS CLAIM
COMMENT
SHARE

Popcorn lung, or constrictive bronchiolitis, is a rare but serious lung disease that affects the Veteran community due to their exposure to burn pits and other hazards while serving. Even though the VA now recognizes it under the PACT Act, experts argue current diagnostic tests miss many cases and not only could it improve evaluations but specialized care centers should also be created. If you're a Veteran with symptoms like a persistent cough or shortness of breath, seek medical attention, explore VA benefits you may be entitled to, and learn more below about the changes to your care advocates are fighting for.
Popcorn Lung: Causes and Symptoms for Veterans
Formally known as constrictive bronchiolitis or bronchiolitis obliterans, popcorn lung, is a rare and irreversible disease that causes small, important airways in your body to narrow leading to respiratory issues and possibly death.
There are various symptoms, including a persistent dry cough, wheezing, and shortness of breath—especially during exercise. Furthermore, people affected by popcorn lung often experience fatigue.
Often associated with vaping, medical data proving a connection is still being collected, however, many experts believe it increases your risk.
For Veterans, the exposure to negative environmental factors due to hazardous training and/or warzones makes this threat an unfortunate reality.
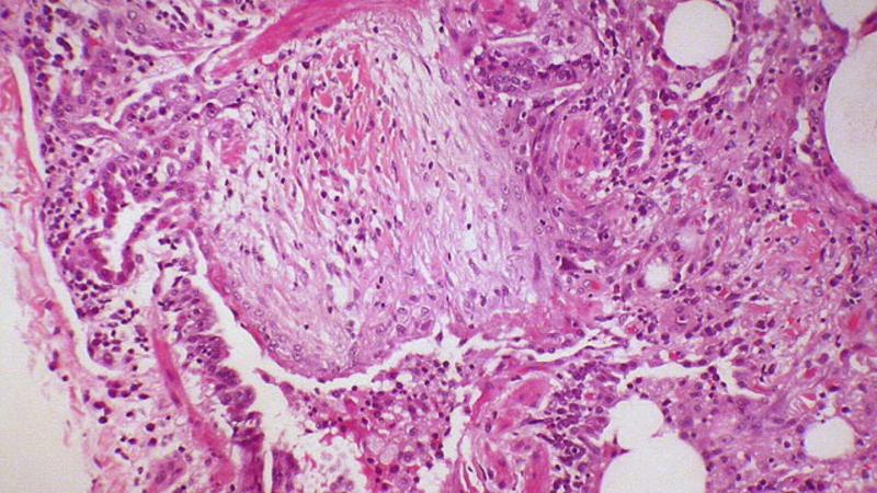
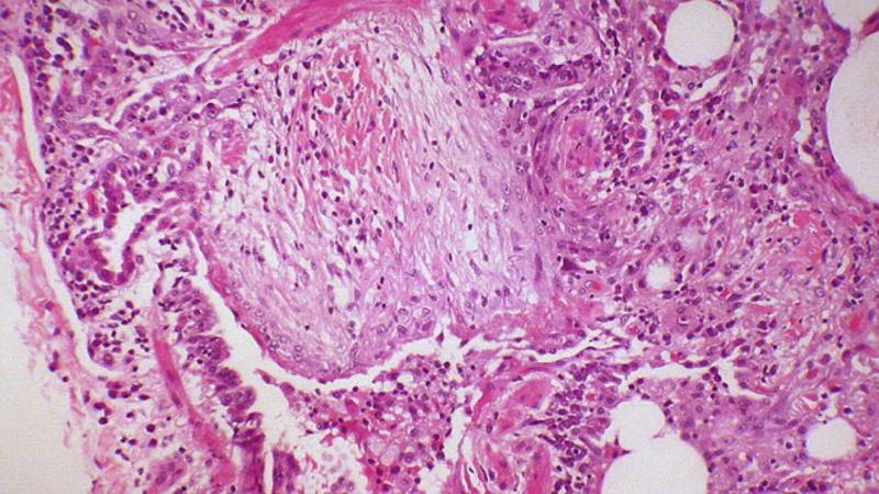
Diagnosis typically requires a lung biopsy, while CT scans may reveal air trapping.
Treatment options are available and should be taken seriously as the disease is life-threatening, often leading to respiratory failure, especially in lung transplant patients.

Constrictive Bronchiolitis and the PACT Act
Thanks to the PACT Act, the VA now has a diagnostic code for popcorn lung due to the connection between the disease and burn pits.
While this helps Vets receive a proper disability rating and compensation, it’s worth mentioning there still aren’t new evaluation standards.
This is a problem for experts because many believe that Vets will have problems receiving accurate diagnoses and benefits, despite being one of the 23 presumptive conditions.
Furthermore, even with this designation, constrictive bronchiolitis was the only one without a dedicated diagnostic code.
The proposed rule assigns constrictive bronchiolitis the code 6605 and continues relying on pulmonary function and cardiopulmonary exercise tests but many say this isn’t enough and Veterans deserve better for their care and compensation.
Experts Believe Veterans Deserve More & a Different Approach
Advocates and medical experts argue that current VA diagnostic criteria are insufficient for identifying popcorn lung.
This includes Dr. Robert Miller, a professor at Vanderbilt University and pulmonologist with over two and a half decades of experience.
The problem with traditional tests detecting lung scarring or asthma is that since popcorn lung is damage found in very small airways, it can be missed as a result.
This could leave Veterans vulnerable to missing out on a proper diagnosis, which leads to worse care and improper compensation.
To help with these issues, advocates are calling for specialized VA care centers and updated evaluation criteria, which would require changes to the current systems in place.
Biopsy-based diagnoses and expert treatment centers continue to be pushed as critics scrutinize the VA, claiming the organization isn’t looking at its own research and improving care.

Diagnosing Popcorn Lung in Veterans: Key Indicators
The only way to truly know whether or not you have popcorn lung is to receive a professional diagnosis from a medical professional, often through the use of imaging and lung function tests.
If you do believe that you have popcorn lung and you’re a Veteran, be sure to reach out to the VA to explore your options for receiving care and benefits due to your condition and service.
Read next:
Join the Conversation
BY BUDDY BLOUIN
Buddy Blouin is a Contributing Writer at VeteranLife.com
Buddy Blouin is a Contributing Writer at VeteranLife.com



